Cabinet dentaire du Docteur Marc DEMATONS
18 G rue de Lattre de Tassigny 01100 OYONNAX - Tél : 04 74 77 49 03
Cabinet dentaire du Docteur Marc DEMATONS

18 G rue de Lattre de Tassigny
01100 OYONNAX

18 G rue de Lattre de Tassigny 01100 OYONNAX - Tél : 04 74 77 49 03

Blog - Page 8

Extraction en orthodontie et réhabilitation par implant

Extraction en orthodontie et réhabilitation par implant

Le traitement de la parodontite par ultrasons

Le traitement de la parodontite par ultrasons

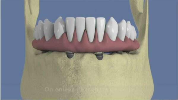
Mandibule complète et traitement implantaire pour un bridge fixe vissé

Mandibule complète et traitement implantaire pour un bridge fixe vissé

Les visites chez le dentiste

Les visites chez le dentiste

Même sans problème apparent, votre chirurgien-dentiste vous conseille une visite de contrôle régulière.

Nettoyage des brackets avec brossette interdentaire

Nettoyage des brackets avec brossette interdentaire

Facettes

Facettes

Affichage des articles 43-48 sur 219